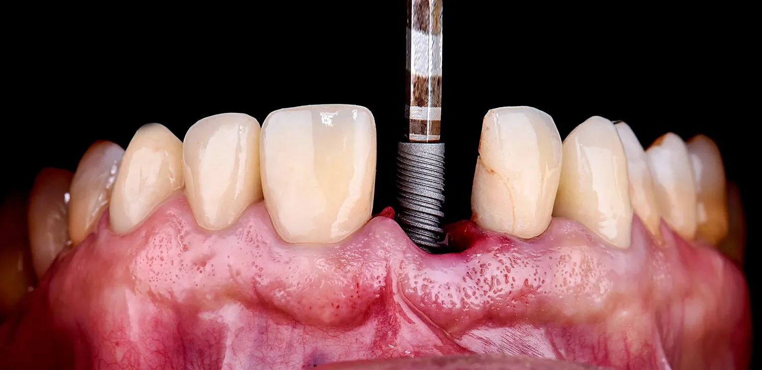
Implanty dentystyczne to nowoczesne rozwiązanie stosowane w stomatologii, które pozwala na odbudowę brakujących zębów. Wykonane są z biokompatybilnych materiałów, takich jak tytan, co sprawia, że są dobrze tolerowane przez organizm. Proces ich zakupu i wszczepienia rozpoczyna się od dokładnej diagnostyki, która obejmuje zdjęcia rentgenowskie oraz konsultacje ze specjalistą. Wszczepienie implantu polega na umieszczeniu go w kości szczęki lub żuchwy, co wymaga odpowiedniego przygotowania pacjenta oraz zastosowania znieczulenia. Po zabiegu następuje okres gojenia, który może trwać od kilku tygodni do kilku miesięcy, w zależności od indywidualnych predyspozycji pacjenta oraz jakości kości. Ważne jest również, aby pacjent przestrzegał zaleceń lekarza dotyczących higieny jamy ustnej oraz regularnych wizyt kontrolnych, co pozwoli na długotrwałe utrzymanie implantu w dobrym stanie.
Jakie są zalety i wady implantów stomatologicznych
Implanty stomatologiczne mają wiele zalet, które przyciągają pacjentów do tego rozwiązania. Przede wszystkim są one trwałe i mogą służyć przez wiele lat, a nawet całe życie, jeśli są odpowiednio pielęgnowane. Dzięki nim można uniknąć problemów związanych z noszeniem protez, które często są niewygodne i wymagają dodatkowej pielęgnacji. Implanty pozwalają na zachowanie naturalnej struktury kości szczęki, co jest kluczowe dla zdrowia jamy ustnej. Z drugiej strony istnieją również pewne wady związane z tym rozwiązaniem. Koszt wszczepienia implantu może być znaczny i nie każdy pacjent ma możliwość pokrycia tych wydatków. Ponadto nie każdy kandydat nadaje się do zabiegu – osoby z chorobami przyzębia czy cukrzycą mogą mieć trudności z gojeniem się po operacji. Warto również pamiętać o ryzyku powikłań pooperacyjnych, takich jak infekcje czy problemy z integracją implantu z kością.
Jak wygląda proces zakupu i wszczepienia implantów

Proces zakupu i wszczepienia implantów dentystycznych jest wieloetapowy i wymaga starannego planowania. Pierwszym krokiem jest konsultacja ze stomatologiem, który oceni stan zdrowia jamy ustnej oraz przeprowadzi szczegółową diagnostykę. Na tym etapie wykonuje się zdjęcia rentgenowskie oraz tomografię komputerową, aby dokładnie zobaczyć strukturę kości i zaplanować miejsce wszczepienia implantu. Kolejnym krokiem jest przygotowanie pacjenta do zabiegu, co może obejmować leczenie ewentualnych chorób przyzębia lub innych problemów zdrowotnych. Sam zabieg wszczepienia implantu odbywa się w znieczuleniu miejscowym i trwa zazwyczaj od jednej do dwóch godzin. Po jego zakończeniu pacjent otrzymuje zalecenia dotyczące pielęgnacji rany oraz diety na najbliższe dni. Następnie następuje okres gojenia, który jest kluczowy dla sukcesu całego procesu – implant musi się dobrze zintegrować z kością.
Jakie są różnice między implantami a innymi metodami odbudowy zębów
Wybór metody odbudowy brakujących zębów jest kluczowy dla zdrowia jamy ustnej oraz komfortu pacjenta. Implanty dentystyczne różnią się od tradycyjnych protez czy mostów przede wszystkim sposobem mocowania oraz trwałością. Protezy ruchome wymagają regularnego zdejmowania i czyszczenia, co może być uciążliwe dla wielu osób. Mosty natomiast opierają się na zdrowych zębach sąsiednich, co może prowadzić do ich osłabienia lub uszkodzenia w przyszłości. W przeciwieństwie do tych metod, implanty są trwale osadzone w kości szczęki lub żuchwy i nie wpływają negatywnie na otaczające zęby. Dodatkowo implanty pomagają zachować naturalną strukturę kości, co jest istotne dla długoterminowego zdrowia jamy ustnej. Choć koszt implantów jest wyższy niż innych metod odbudowy, ich trwałość oraz komfort użytkowania sprawiają, że wielu pacjentów decyduje się na tę inwestycję w swoje zdrowie i uśmiech.
Jak dbać o implanty dentystyczne po ich wszczepieniu
Prawidłowa pielęgnacja implantów dentystycznych jest kluczowa dla ich długowieczności oraz zdrowia jamy ustnej. Po wszczepieniu implantu ważne jest przestrzeganie zaleceń lekarza dotyczących higieny jamy ustnej oraz regularnych wizyt kontrolnych. Należy stosować miękką szczoteczkę do zębów oraz pastę do zębów przeznaczoną dla osób noszących implanty lub protezy. Szczególną uwagę należy zwrócić na miejsca wokół implantu, gdzie gromadzi się płytka bakteryjna – warto używać nici dentystycznej lub irygatora do oczyszczania trudno dostępnych miejsc. Regularne wizyty u stomatologa pozwalają na monitorowanie stanu zdrowia implantu oraz wykrywanie ewentualnych problemów we wczesnym stadium. Oprócz codziennej higieny ważna jest również dieta – unikanie twardych pokarmów oraz nadmiernego spożycia cukrów pomoże w utrzymaniu zdrowych dziąseł wokół implantu.
Jakie są najnowsze technologie w dziedzinie implantów dentystycznych
W ostatnich latach technologia związana z implantami dentystycznymi znacznie się rozwinęła, co przyczyniło się do poprawy jakości zabiegów oraz komfortu pacjentów. Jednym z najważniejszych osiągnięć jest wprowadzenie cyfrowych technologii planowania zabiegów, które pozwalają na precyzyjne zaplanowanie miejsca wszczepienia implantu. Dzięki tomografii komputerowej oraz skanowaniu 3D lekarze mogą dokładnie ocenić strukturę kości i dostosować plan działania do indywidualnych potrzeb pacjenta. Wprowadzenie systemów CAD/CAM umożliwia również produkcję koronek protetycznych na miejscu, co skraca czas oczekiwania na gotowy produkt. Innowacyjne materiały, takie jak ceramika cyrkonowa, zyskują na popularności ze względu na swoją estetykę oraz biokompatybilność. Dodatkowo, techniki regeneracji kości, takie jak przeszczepy kostne czy zastosowanie membran, pozwalają na skuteczne leczenie pacjentów z niedoborem tkanki kostnej. Nowoczesne implanty są także projektowane z myślą o szybszej integracji z kością, co skraca czas gojenia i zwiększa szanse na sukces całego zabiegu.
Jakie są koszty związane z wszczepieniem implantów dentystycznych
Koszty związane z wszczepieniem implantów dentystycznych mogą się znacznie różnić w zależności od wielu czynników. Przede wszystkim cena implantu zależy od jego rodzaju oraz materiału, z którego został wykonany. Implanty tytanowe są zazwyczaj tańsze niż te wykonane z ceramiki cyrkonowej, która oferuje lepszą estetykę. Dodatkowo, koszt zabiegu może być wyższy w renomowanych klinikach stomatologicznych, które oferują nowoczesne technologie oraz wyspecjalizowany personel. Warto również uwzględnić dodatkowe wydatki związane z diagnostyką, taką jak zdjęcia rentgenowskie czy tomografia komputerowa, a także ewentualne zabiegi przygotowawcze, takie jak przeszczepy kostne czy leczenie chorób przyzębia. W Polsce ceny za wszczepienie jednego implantu wahają się od kilku do kilkunastu tysięcy złotych, w zależności od lokalizacji kliniki oraz doświadczenia lekarza. Warto jednak pamiętać, że inwestycja w implanty to długoterminowe rozwiązanie, które może znacząco poprawić jakość życia pacjenta oraz jego zdrowie jamy ustnej.
Jakie są przeciwwskazania do wszczepienia implantów dentystycznych
Decyzja o wszczepieniu implantu dentystycznego nie zawsze jest możliwa dla każdego pacjenta. Istnieje wiele przeciwwskazań zdrowotnych, które mogą uniemożliwić przeprowadzenie tego zabiegu. Przede wszystkim osoby cierpiące na choroby ogólnoustrojowe, takie jak cukrzyca czy choroby serca, powinny być szczególnie ostrożne i skonsultować się ze specjalistą przed podjęciem decyzji o implantacji. Problemy z układem immunologicznym mogą również wpłynąć na proces gojenia i zwiększyć ryzyko powikłań pooperacyjnych. Ponadto osoby palące papierosy mają większe trudności z integracją implantu z kością oraz są bardziej narażone na infekcje. Ważnym czynnikiem jest także stan zdrowia jamy ustnej – choroby przyzębia czy niedobór tkanki kostnej mogą wymagać wcześniejszego leczenia przed przystąpieniem do wszczepienia implantu. Również młodsze osoby w okresie wzrostu powinny unikać tego typu zabiegów ze względu na rozwój kości.
Jakie są opinie pacjentów o implantach dentystycznych
Opinie pacjentów dotyczące implantów dentystycznych są zazwyczaj bardzo pozytywne i wskazują na wysoką satysfakcję z efektów końcowych zabiegu. Wielu pacjentów podkreśla znaczną poprawę komfortu życia po wszczepieniu implantu – możliwość swobodnego jedzenia i mówienia bez obaw o wypadnięcie protezy to dla wielu osób kluczowy aspekt. Pacjenci często zwracają uwagę na estetykę uzębienia po zakończeniu leczenia – implanty wyglądają naturalnie i nie różnią się od pozostałych zębów. Wiele osób docenia także trwałość tego rozwiązania – w przeciwieństwie do tradycyjnych protez czy mostów, implanty mogą służyć przez wiele lat bez konieczności ich wymiany. Oczywiście istnieją również negatywne opinie związane głównie z kosztami zabiegu oraz czasem oczekiwania na pełną integrację implantu z kością. Niektórzy pacjenci zgłaszają również obawy dotyczące bólu pooperacyjnego lub ryzyka powikłań. Jednakże większość osób uważa, że korzyści płynące z posiadania implantu przewyższają potencjalne problemy związane z zabiegiem.
Jak wygląda rehabilitacja po wszczepieniu implantów dentystycznych
Rehabilitacja po wszczepieniu implantów dentystycznych jest kluczowym etapem procesu leczenia i ma na celu zapewnienie prawidłowego gojenia oraz integracji implantu z kością. Po zabiegu pacjent powinien przestrzegać zaleceń lekarza dotyczących diety oraz higieny jamy ustnej. W pierwszych dniach po operacji zaleca się spożywanie miękkich pokarmów oraz unikanie gorących napojów, aby nie podrażnić miejsca wszczepienia implantu. Ważne jest także unikanie intensywnego wysiłku fizycznego przez kilka dni po zabiegu, aby nie obciążać organizmu i umożliwić mu regenerację. Regularne wizyty kontrolne u stomatologa pozwalają monitorować postęp gojenia oraz wykrywać ewentualne problemy we wczesnym stadium. Pacjenci powinni również dbać o codzienną higienę jamy ustnej – stosowanie miękkiej szczoteczki do zębów oraz nici dentystycznej pomoże utrzymać czystość wokół implantu i zapobiegnie infekcjom.
Jak długo trwa proces gojenia po wszczepieniu implantów dentystycznych
Czas gojenia po wszczepieniu implantów dentystycznych jest zmienny i zależy od wielu czynników, takich jak stan zdrowia pacjenta czy jakość tkanki kostnej w miejscu wszczepienia implantu. Zazwyczaj proces ten trwa od trzech do sześciu miesięcy, ale może być krótszy lub dłuższy w zależności od indywidualnych predyspozycji organizmu. W pierwszym etapie gojenia dochodzi do integracji implantu z kością – proces ten nosi nazwę osteointegracji i jest kluczowy dla sukcesu całego zabiegu. W tym czasie ważne jest przestrzeganie zaleceń lekarza dotyczących diety oraz higieny jamy ustnej, aby uniknąć komplikacji i wspierać proces gojenia. Po zakończeniu okresu gojenia można przystąpić do wykonania korony protetycznej lub innego elementu odbudowującego uzębienie.